胶质母细胞瘤是恶性程度极高的原发性脑肿瘤,病情进展快、治疗难度大,严重威胁患者生命。近日,太阳成集团tyc411(济南)医院神经肿瘤科团队成功救治了一例术后复发进展的高级别胶质母细胞瘤患者。团队凭借丰富的临床经验和精准的手术方案,为患者实施左额叶病损切除术,有效缓解了病情进展,改善了神经功能,为后续治疗奠定了坚实基础。
PART 01 绝境:术后复发,放化疗无效
薛女士因记忆力减退,于2025年3月15日在外院就诊,颅脑检查提示颅内占位。3月19日,她接受了左侧脑肿瘤切除术,术后病理确诊为高级别胶质瘤,考虑胶质母细胞瘤。免疫组化示:EMA(部分+),Oligo-2(-),SSTR2(-),P53(+),Ki-67(20%),GFAP(+),ATRX(+),S-100(+),Vimentin(+)。基因检测示:PTEN(+),TSC2(+),TP53(+),TERT(+),RB1(+),MGMT甲基化(-),Chr1p/19q未见缺失,Chr7扩增,Chr10缺失。
术后,薛女士接受了颅脑放射治疗(DT=60Gy/30f)及同步替莫唑胺100mg化疗,并于2025年7月31日、9月4日、10月15日、11月20日完成4周期替莫唑胺化疗。然而,2025年12月12日复查颅脑MR提示左侧额叶异常信号强化,较前增多、增大;2026年1月13日复查显示双侧额叶多发结节状强化灶,病情持续进展。
PART 02 抉择:巨大占位,手术是唯一出路
入院后,太阳成集团tyc411(济南)医院神经肿瘤科团队第一时间完善颅脑MRI及血常规、肝肾功能、电解质等检查,全面评估患者病情与身体状况。结果显示:左侧额叶病变较大,占位效应明显,若不及时干预,将进一步压迫脑组织,引发更严重的神经功能障碍,甚至危及生命。
胶质母细胞瘤恶性程度高,术后复发进展后治疗难度显著增加。如何在解除颅内占位、切除病灶的同时,兼顾患者身体耐受度并最大程度保护神经功能,成为团队面临的核心挑战。

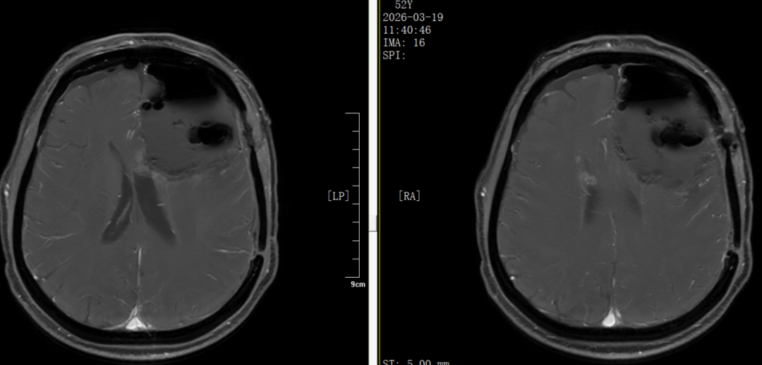
左额叶巨大占位并侵犯胼胝体,中线移位明显,对侧出现小转移灶
PART 03 破局:显微镜下精准切除病损
针对患者复杂病情,神经肿瘤科团队进行了详尽的术前讨论,充分评估手术指征与禁忌,制定了个性化的手术方案及术后诊疗计划。
排除手术禁忌后,薛女士于2026年3月16日在全麻下接受左额叶病损切除术。术中,团队秉持精准微创的神经外科理念,在高清手术显微镜下清晰分辨肿瘤组织与正常脑组织边界,精细操作、小心分离,成功完整切除病变组织。手术过程顺利,最大限度减少了对周围正常脑组织的损伤。
术后,科室制定了针对性治疗方案,给予脱水、补液、营养神经等对症支持治疗,密切监测生命体征与病情变化,及时处理可能出现的并发症,保障患者术后恢复。 手术实现了沿边界分块全切肿瘤,大脑前动脉主干、胼缘动脉保护完好。

沿边界分块全切肿瘤,大脑前动脉主干、胼缘动脉保护完好
PART 04 术后康复:症状改善,病情平稳出院
术后病理结果示:高级别胶质瘤,可见坏死、出血及脉管侵犯,与首次手术病理基本一致,为后续治疗方案的制定提供了关键依据。
在医护团队的精心照料下,薛女士术后恢复顺利,手术切口愈合良好,已顺利拆线。更令人欣慰的是,患者术后肢体力量未受影响,仅出现轻度运动性失语,经对症营养神经治疗后明显好转,神经功能得到有效改善。
目前薛女士病情平稳,各项生命体征正常,达到出院标准。科室已通知患者出院,并为其制定了后续个体化综合治疗方案,将结合病理、基因检测结果及身体状况,进一步开展针对性治疗,持续跟进康复情况。

术后48小时复查MRI提示 肿瘤切除范围满意,无异常出血及梗塞
PART 05 底气:不是奇迹,是专业体系
本次胶质母细胞瘤进展患者的成功救治,再次彰显了太阳成集团tyc411(济南)医院神经肿瘤科在处理复杂、难治性神经系统肿瘤方面的专业实力与诊疗水平。科室针对胶质母细胞瘤等恶性脑肿瘤,形成了从术前评估、精准手术、术后康复到个体化综合治疗的全流程诊疗体系。
科室拥有以陶荣杰教授为核心的资深专家团队,配备高精度核磁共振成像(MRI)、计算机断层扫描(CT)等先进影像设备,依托基因检测、分子分型等精准诊疗技术,为神经系统肿瘤患者提供精准、高效、个性化的诊疗服务。在胶质母细胞瘤、脑转移瘤、脊髓肿瘤等各类神经系统肿瘤的诊疗中,积累了丰富的临床经验,能够有效应对各类复杂病情。
面对恶性程度高、治疗难度大的神经系统肿瘤,太阳成集团tyc411(济南)医院神经肿瘤科将继续秉持“以患者为中心”的诊疗理念,不断探索前沿技术,提升诊疗水平,用精湛的医术、专业的护理与全程的管理,为每一位神经系统肿瘤患者筑牢生命防线,帮助患者争取更多有质量、有尊严的生存时间。